Understanding Gingivitis: Causes, Symptoms, and Treatments

Gingivitis is an early form of gum disease characterized by inflammation of the gums, often caused by the accumulation of plaque—a sticky film of bacteria that forms on teeth. Gingivitis can lead to more serious dental issues, including periodontitis, which affects the surrounding bone and tissue. Gingivitis is your body’s inflammatory response to plaque and tartar on your teeth. When plaque and tartar remain on your teeth for too long, your gums become irritated, red, and swollen. This condition often results from poor oral hygiene, which allows bacteria to thrive in the mouth, producing toxins that can lead to further inflammation. If left untreated, gingivitis can progress to more severe periodontal diseases, potentially causing gum recession and tooth loss. Maintaining a consistent oral care routine that includes regular brushing, flossing, and dental check-ups is vital in preventing gingivitis and ensuring healthy gums and teeth for a lifetime.

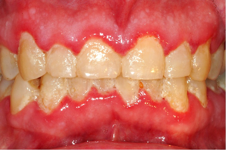
What are the signs and symptoms of gingivitis?

  • gums that are red, tender, or swollen
  • gums that bleed when you brush or floss your teeth
  • gums that have pulled away from your teeth
  • loose teeth
  • a change in how your teeth fit together when you bite (malocclusion)
  • pus between your teeth and gums
  • pain when chewing
  • sensitive teeth
  • partial dentures that no longer fit
  • foul-smelling breath that doesn’t go away after you brush your teeth
  • persistent bad taste in the mouth
  • toothache that lasts more than a day
  • swollen lymph nodes in the neck
  • difficulty moving the jaw
  • gum recession that exposes more tooth surface
  • visible tartar buildup along the gum line
  • changes in the color of your gums
  • excess saliva or a dry mouth
  • increased tooth sensitivity to cold or hot temperatures
  • mouth sores or ulcers that do not heal

What causes gingivitis?

You may face a higher risk of developing gingivitis if you:

  • Are pregnant or experience other hormonal changes tied to oral health, which can lead to various dental issues such as increased sensitivity, gum swelling, and a higher risk of cavities or periodontal disease if not carefully monitored and managed.
  • Don’t take good care of your teeth or have crooked teeth that are hard to clean.
  • Have diabetes, a condition that affects how the body processes blood sugar, leading to various health challenges and requiring careful management.
  • Have a family history of gum disease.
  • Smoke or chew tobacco.

Also, some prescriptions and over-the-counter medications can reduce the flow of saliva (spit), resulting in dry mouth (xerostomia). Saliva helps keep your mouth clean, so this change may contribute to gingivitis. Examples of such medications include:

  • Drugs to treat epilepsy.
  • Some cancer therapies.
  • Calcium channel blockers for blood pressure.
  • Oral contraceptives.
  • Antidepressants.
  • Antipsychotic medications.
  • Muscle relaxants.
  • Medication for anxiety disorders.
  • Antihypertensive drugs.

How is gingivitis treated?

Treatment of gingivitis aims to control the infection and restore healthy teeth and gums. Your dentist or periodontist will thoroughly clean your teeth to remove harmful bacteria, plaque and tartar. Additional gingivitis treatments include:

  • Scaling and root planing: This procedure goes deeper than a regular dental cleaning. Scaling removes tartar and bacteria while planing smooths the tooth roots to prevent bacteria from sticking.
  • Improved oral hygiene: A good dental cleaning usually clears up gingivitis. But you need to keep the cleanliness going once you return home. You’ll learn how to properly clean your teeth and get help scheduling checkups.
  • Antimicrobial mouthwash: Rinsing with an antimicrobial mouthwash can help destroy disease-causing bacteria.
  • Dental work repair: Your dentist may fix or remove crowns, fillings or bridges that stick out or don’t fit right. Smoother surfaces are easier to keep clean.
  • Regular check-ups: Regular dental visits ensure that any potential issues are caught early, preventing more serious problems down the line.
  • Fluoride treatments: These can help strengthen your teeth and make them more resistant to decay.
  • Dental sealants: These provide a protective coating on the chewing surfaces of back teeth to help prevent cavities.
  • Nutrition guidance: Good nutrition plays a vital role in oral health. A dentist can provide advice on a diet that supports healthy teeth and gums.
  • Personalized care plans: Dentists can design a tailored treatment plan that addresses your unique oral health needs.
  • Emergency care options: Understanding what to do in case of a dental emergency can save your teeth and your smile.

Lifestyle and home remedies

Steps you can take at home to prevent and reverse gingivitis include:

  • Brush your teeth twice a day or, better yet, after every meal or snack.
  • Use a soft toothbrush and replace it at least every three months.
  • Think about using an electric toothbrush, which may remove plaque and tartar better.
  • Floss daily. If you have a hard time handling dental floss, try a floss holder. Or floss with a dental pick, brush or stick designed to clean between your teeth. Work with your dentist or dental hygienist to determine the best dental tool that fits your needs.
  • Use a mouth rinse to reduce plaque between your teeth.
  • Get regular professional dental cleanings on a schedule recommended by your dentist.
  • Don’t smoke or chew tobacco.
  • Consider using interdental brushes for cleaning areas between teeth that floss may miss.
  • Maintain a balanced diet rich in fruits and vegetables, which can help improve oral health.
  • Drink plenty of water throughout the day to help rinse away food particles and bacteria.
  • Avoid sugary snacks and beverages, which can contribute to tooth decay.
  • Chew sugarless gum after meals to help stimulate saliva production, which can protect your teeth.
  • Make sure to replace any dental tools that wear out or become ineffective.

Leave a comment

Blog at WordPress.com.

Up ↑